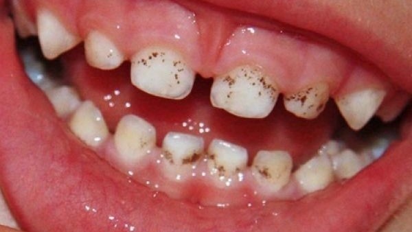
Up to 100% of preschoolers affected by dental caries

AKIPRESS.COM - The Ministry of Health analyzed the prevalence of dental caries (tooth decay) among children in Kyrgyzstan aged 2 to 18 years...

AKIPRESS.COM - The Ministry of Health analyzed the prevalence of dental caries (tooth decay) among children in Kyrgyzstan aged 2 to 18 years...
All rights reserved
© AKIpress News Agency - 2001-2025.
Republication of any material is prohibited without a written agreement with AKIpress News Agency.
Any citation must be accompanied by a hyperlink to akipress.com.
Our address:
299/5 Chingiz Aitmatov Prosp., Bishkek, the Kyrgyz Republic
e-mail: english@akipress.org, akipressenglish@gmail.com;